最終受付は診療終了の30分前
24時間受付
元の歯のように
しっかり噛みたい
DENTAL IMPLANT

歯を失った際の治療法として、インプラント治療は今や非常に有効な選択肢となっています。特に、少数歯欠損や中間歯欠損で、失った歯の隣にあるご自身の歯が健康な場合、その歯を削る必要がないインプラントは最良の選択といえます。費用や外科処置といったハードルはありますが、健康な歯を守るという点で、また、ご自身の歯とほとんど変わらない機能や審美性を回復し生活の質(QOL)を向上させるという点で、インプラントは最も優れた治療法であると考えています。
※自由診療(保険適用外)

インプラント治療とは、むし歯や歯周病、外傷などで失ってしまった歯の代わりに、人工の歯根(インプラント体)をあごの骨に埋め込み、その上に人工の歯を装着して機能と見た目を回復させる治療です。インプラント体には、生体との親和性が非常に高いチタンが使われており、チタンが骨と強固に結合する性質を利用して、ご自身の歯のように安定し、しっかりと噛むことができます。

歯を失った場合の治療法には、インプラントの他に入れ歯とブリッジがあります。ブリッジは隣の歯を大きく削る必要があり、入れ歯はバネをかける歯に負担をかけます。一方、インプラントは独立して機能するため、周囲の健康な歯を一切削ったり負担をかけたりしません。また、あごの骨に力が伝わるため、骨が痩せるのを防ぐ効果もあります。機能や審美性も天然歯に近いため、生活の質を大きく向上できることが最大のメリットです。
| 入れ歯 | ブリッジ | インプラント | |
|---|---|---|---|
| 審美性 | × | 〇 | ◎ |
| 噛む力 | × | 〇 | ◎ |
| 違和感 | × | ◎ | ◎ |
| 他の歯への負担 | △ | × | ◎ |
| 治療期間 | 〇 | 〇 | × |
| 耐用期間 | △ | △ | 〇 |

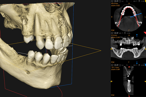
インプラント治療は外科手術を伴うため、安全性の確保が最も重要です。当院では、血管や神経の位置、あごの骨の厚みや密度を三次元的に正確に観察できる歯科用CTを必ず使用します。このCTデータを用いることで、コンピューター上でインプラントを埋入する最適な位置、角度、深さを事前に精密にシミュレーションします。これにより、患者さまにとってリスクの少ない、安全で確実な治療計画を立てることが可能です。

シミュレーションで立案した緻密な治療計画を、実際の外科手術で正確に反映させるために、当院ではサージカルガイドを基本的に使用します。サージカルガイドとは、ドリルを誘導するための手術用のテンプレートです。これを口腔内に装着することで、ドリルをガイドの穴に沿って動かすだけで、事前に計画した通りの正確な位置にインプラントを埋入できます。計画通りに施術が進むことが、手術の安全性を高める一番の理由です。

インプラントを埋入するためには、インプラント体をしっかりと支えるだけの十分なあごの骨の量が必要です。しかし、歯周病などで歯を失って時間が経つと骨が痩せてしまい、骨量が不足することがあります。当院では、このような場合に骨造成(GBR法など)を行い、人工骨や自家骨を用いてインプラントを埋入するのに必要な骨の量を増やします。他院で「骨が足りない」と断られた方も、一度当院にご相談ください。
初回カウンセリング
無料
CT検査
5,000円
手術費用
1次手術
260,000~330,000円
2次手術
10,000円
上部構造(人工歯)
前歯
170,000円
臼歯
160,000円
骨造成
GBR
55,000〜150,000円
ソケットリフト
55,000円
サイナスリフト
200,000円
抜歯即時埋入
※抜歯と1次手術を同時に行う場合
55,000円
※治療費には消費税(10%)が含まれています
FLOW
当院での基本的な二回法治療の流れをご紹介します。

まず、歯を失った経緯や全身の健康状態、治療に対するご希望やご予算などを詳しく伺います。インプラント治療が患者さまにとって最良の選択肢であるかを確認する、大切な最初のステップです。

お口の状態の確認、歯科用CTによるあごの骨の構造の検査、かみ合わせの記録など、インプラント治療に必要なすべての情報を得るための精密な検査を実施します。

検査データに基づき、インプラントの埋入位置や手術方法、費用、治療期間など、具体的な治療計画を分かりやすくご説明します。ご不明点がないよう、時間をかけてご納得いただきます。

局所麻酔を行い、インプラント体(人工歯根)をあごの骨に埋入する外科手術を実施します。手術は事前に作成したサージカルガイドを用いて、安全かつ確実に行います。

インプラントと顎の骨が結合するまで、数週間から数ヶ月の治癒期間を設けます。
インプラントと骨の結合が確認できたら、インプラント体の上に、被せ物を取り付けるための連結部品(アバットメント)を装着するための処置を行います。

歯型を採り、最終的な人工の歯(被せ物)を作製し、インプラント体に取り付けます。これにより、機能と審美性が回復し、治療が完了します。

インプラントは天然歯と同じように、あごの骨に植立しているため、メンテナンスを怠ると歯周病のようなインプラント周囲炎という病気になってしまいます。インプラントを長持ちさせるために、日々の清掃のほか専門的なクリーニングと検診にお越しください。
RESERVE
患者さまをお待たせしないために、事前のご予約をお願いしております。お電話もしくは予約フォームから予約をお取りいただけます。
最終受付は診療終了の30分前
24時間受付
| 月 | 火 | 水 | 木 | 金 | 土 | 日 | |
|---|---|---|---|---|---|---|---|
| 9:30-12:00 | ◯ | ◯ | ◯ | - | ◯ | ◯ | - |
| 14:30-18:00 | ◯ | ◯ | ◯ | - | ◯ | ▲ | - |
| ▲ 13:30-15:30 休診日:木曜日 / 日曜日 / 祝日 | |||||||
自費診療のみクレジットカードがご利用いただけます

〒192-0364
東京都八王子市南大沢5丁目14−4−2
京王相模原線 「南大沢」 徒歩15分
京王バス 南大沢五丁目循環「三徳プラザ」下車 徒歩1分