〒192-0364
東京都八王子市南大沢5丁目14−4−2
京王相模原線 「南大沢」 徒歩15分
京王バス 南大沢五丁目循環「三徳プラザ」下車 徒歩1分
※自費診療のみクレジットカードがご利用いただけます
TEL:042-676-0024
| 月 | 火 | 水 | 木 | 金 | 土 | 日 | |
|---|---|---|---|---|---|---|---|
| 9:30-12:00 | ◯ | ◯ | ◯ | - | ◯ | ◯ | - |
| 14:30-18:00 | ◯ | ◯ | ◯ | - | ◯ | ▲ | - |
| ▲ 13:30-15:30 休診日:木曜日 / 日曜日 / 祝日 | |||||||
KOIKE DENTAL CLINIC
東京都八王子市南大沢にある小池歯科医院は、平成元年、三徳プラザ店舗の一つとして開業し、三十数年にわたり地域の皆さまに支えられ、今日に至っております。
むし歯や歯周病の治療と予防はもちろん、お子さまの歯を守る小児歯科から、審美治療、入れ歯の治療・修理、高度なインプラント治療、親知らずの治療や顎関節症などの口腔外科全般まで、幅広い診療に対応しております。
お車でのご来院にも便利な共有の駐車場も完備。京王線南大沢駅からも徒歩圏内(約15分)とアクセス良好で、お買い物やお出かけのついでにも通いやすい便利な立地です。
DENTIST

皆さまに安心して治療を受けていただくため、丁寧で痛みに配慮した治療と、親身な対応を心がけております。
スタッフ一同皆様の健やかな毎日をお手伝いできるよう努めてまいります。どうぞお気軽にご相談ください。
2015年
日本大学歯学部 卒業
2016〜2022年
日本大学歯学部附属歯科病院 口腔外科第一講座 所属
2020年
日本大学大学院修了 博士(歯学)
口腔外科在籍中に離島診療(神津島)、日本大学病院救急科 出向
2023年〜
小池歯科医院 勤務
MENU
むし歯の治療
歯周病の治療
子どもの治療
むし歯・歯周病の予防
審美治療
入れ歯の治療
インプラント治療
歯科口腔外科
EQUIPMENT
治療の効果や選択肢を増やすために、より良い医療機器や設備を揃えています。

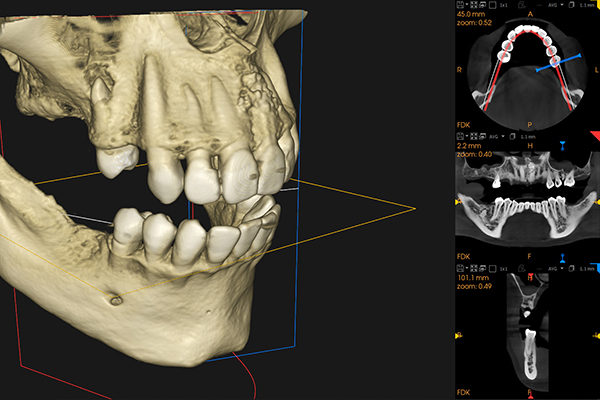
従来のレントゲンでは見えなかった顎の骨や神経、血管の位置などを立体的に把握できるため、より精密な診査・診断が可能です。特に、親知らずの抜歯やインプラント治療の際に役立ち、安全性の高い精密な治療計画を立てることができます。

小型のCCDカメラでお口の中を撮影し、リアルタイムでモニターに映し出します。むし歯や歯石の状態などを患者さまご自身の目で確認していただけるので、ご自身のお口の状況をより深く理解でき、納得して治療を受けていただくことができます。

歯の詰め物や被せ物を、スキャンから設計、作製まで院内で行うシステムです。高品質なセラミックブロックを使用し、コンピューター制御で修復物を作製するため、スピーディーかつ精密な治療が可能です。通常、数日かかる治療が最短1日で完了できます。
ACCESS MAP
京王相模原線 「南大沢」 徒歩15分
京王バス 南大沢五丁目循環「三徳プラザ」下車 徒歩1分
ショッピングエリア内共有の駐車場をご利用ください(2H無料)